Smile Gallery
A picture is truly worth a thousand words when it comes to the possibilities available from modern cosmetic dentistry. Take a moment to browse our smile gallery and please contact us if you would like to make improvements to your smile.
*The images shown in our Smile Gallery are examples of dental treatments provided at our practice. Individual results will vary depending on each patient’s dental needs and circumstances.
*The images shown in our Smile Gallery are examples of dental treatments provided at our practice. Individual results will vary depending on each patient's dental needs and circumstances.
This patient presented with broken upper front teeth, which we carefully restored using composite bonding. The fractured edges and irregularities were repaired to recreate a natural tooth shape and colour. The finish blends seamlessly with the surrounding teeth, supporting both appearance and function.
Personalised Composite Bonding in Pascoe Vale, VIC
We invite you to learn more about this treatment and discuss whether it may be suitable for your smile. Contact our team today to arrange an appointment.
See the difference dental implants can make. The first photo shows the patient’s smile before the implant crown procedure, with a missing tooth. The second photo shows the completed implant crown, restoring both function and appearance for a natural-looking, confident smile.
Orthodontic Treatment and Composite Buildup – Before and After
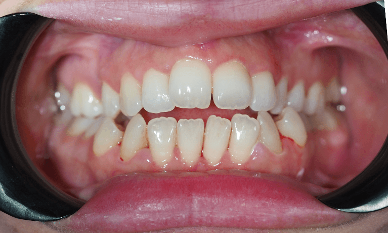
This patient underwent orthodontic treatment to gently and precisely align their teeth, creating a healthier bite and a more even smile. Once alignment was achieved, we performed composite buildup on the front teeth to refine their shape, improve symmetry, and enhance overall aesthetics. This combination treatment not only improved function but also gave the patient a brighter, more balanced smile that complements their facial features. The transformation showcases how strategic orthodontics paired with cosmetic artistry can achieve natural-looking, long-lasting results.
Professional In-Chair Teeth Whitening – Before and After
This patient came to our clinic looking for a brighter, more confident smile. After assessing their oral health and discussing their goals, we recommended our professional in-chair teeth whitening treatment. This safe, effective procedure was completed in a single appointment, significantly lifting stains caused by everyday habits like coffee and tea. The result is a noticeably whiter, fresher-looking smile that the patient was thrilled to share.
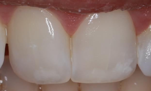
This treatment involved building up the front two teeth to improve their shape and appearance. A gentle enamel microabrasion technique was used to remove surface stains or white spots, followed by the application of a concentrated remineralising agent to strengthen the enamel and help prevent future decay.
We invite you to reach out to us if you have questions about this particular case or would like to schedule an appointment with us.
Composite Bonding – Broken Teeth Repair
This patient arrived with chipped and broken front teeth, affecting both their smile and confidence. With precise composite bonding, we restored the shape, strength, and appearance of each tooth. The final result is a seamless, natural-looking smile transformation completed in just one visit.
Professional Dental Clean – Before & After
This patient came in with visible plaque buildup and surface staining. After a thorough professional clean, their teeth look noticeably brighter and healthier. The result is a refreshed smile and improved oral health—all in a single visit.
Composite Bonding – Before & After
This patient presented with several worn-down teeth that affected both function and appearance. Using tooth-coloured composite bonding, we carefully rebuilt and reshaped each tooth for a fuller, more youthful smile. The result is a natural-looking transformation that restores confidence and balance.
Invisalign & Front Tooth Build-Up – Before & After
This patient began treatment with crowding and uneven front teeth. Through Invisalign, we gently aligned their smile, followed by composite build-up to reshape and enhance worn front teeth. The result is a straighter, more balanced smile with natural-looking improvements in both alignment and aesthetics.
Multiple areas of tooth decay we restored on a child made an impressive difference. This was all made possible with Dr Valerie's patience. She used composite resin material to fill the holes left by tooth decay and to restore shape and function to this little one's teeth and aesthetics to their smile.
Tooth-Coloured Fillings for Kids
We love caring for children at Lumino Smiles, and our clinic accepts new patients. Giving your child the gift of a healthy smile sets them up for success in the future.
Meet this patient, who once struggled with very worn teeth but found a fresh start through composite bonding. This patient’s journey went from extensive wear to beautiful, functional restoration, all thanks to our dentists’ use of modern, customised composite bonding techniques.
Ready to Restore Your Smile with Composite Bonding?
We invite you to imagine what is possible for your smile. Together, we can rejuvenate its health and beauty! We welcome your call, or you can book a consultation online.
This patient had misaligned teeth and an overbite, which inhibited their confidence. Our team helped this patient straighten and correct their smile with Invisalign® clear aligners. Now, this patient is more than delighted to show off their straight, beautifully aligned smile.
Invisalign Clear Aligners in Pascoe Vale, VIC
We invite you to consider what Invisalign could do for your smile! We welcome your call, or you can book a consultation online.
This patient had worn-down teeth, which we restored using Smile Design and customised composite bonding. This patient was very pleased with their results, and they can now eat and smile with more comfort and functionality.
Personalised Composite Bonding in Pascoe Vale, VIC
We invite you to explore what’s possible for your smile, and call us today to book your appointment.
This patient wanted to restore their chipped and worn down front teeth so they could feel more confident with their smile. We achieved this beautiful transformation with composite fillings, and the patient couldn’t be happier with their new and improved smile.
Aesthetic Composite Fillings in Pascoe Vale, VIC
We invite you to see the difference for yourself and imagine the possibilities for your smile! We welcome you to contact us today to book your consultation.
This section highlights a case where our expert team has successfully repaired and restored a damaged smile. From detailed before-and-after images, you can see the precision and care involved in our restorative procedures. This visual story demonstrates how we address broken teeth with skillful treatments to achieve natural-looking, functional results. Explore this example to understand how we can help you regain confidence and enjoy a complete, healthy smile.
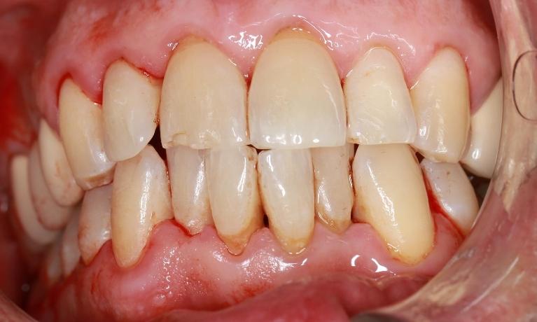
This patient came in with quite a bit of buildup around the gum line and on the front of the teeth. To help get their oral health on track, we completed a professional cleaning removing all of the plaque buildup, calculus, and staining and then finished with a polish. This is also known as oral prophylaxis.
Cleanings are a preventative measure for gingivitis and other kinds of gum issues.
This patient is pictured before and after a clean and polish at Lumino Smiles Dental. During the clean we removed plaque buildup, calculus, and staining. After the clean we polished the teeth leaving a smoother look and feel.
Regular dental cleanings help prevent decay and gum disease.
This patient came in frustrated by spacing, discoloration, shape, and chips. Dr Kiaee worked with them to create a custom cosmetic smile design plan that addressed all of these concerns. After finding a treatment plan that worked, we were able to fix everything leaving a whiter, straight smile that they were proud of.
Smile Designs can include a range of services including cosmetic and restorative and focus on looks as well as function.
This patient came in with a significant chip on their front tooth as well as wear on a few others. Using cosmetic bonding Dr Kiaee was able to help them by reshaping those impacted teeth while perfectly matching the color.
At Lumino Smiles Dental we use composite material to fix damaged teeth. This material is easily molded as well as colored so it blends seamlessly.
Using cosmetic procedures, Dr Kiaee was able to help this patient fade their white spots that were present on their teeth.
Before treatment this patient had severe crowding and misalignment across both upper and lower teeth. using an active removable appliance, Dr. Kiaee was able to help straighten out their smile.
Active Removable appliances usually consist of a plastic or acrylic frame that holds wires that can be active to move teeth into the right position and correct the bite.
With several old amalgam silver fillings, this patient was interested in improving the look of their smile. Dr Kiaee replaced these old fillings using white fillings made of composite material that matched the color of their natural teeth.
White fillings not only are cosmetically more appealing, they are often less invasive than silver fillings. Silver fillings often crack the natural tooth over time.
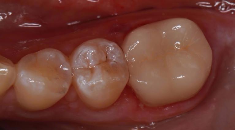
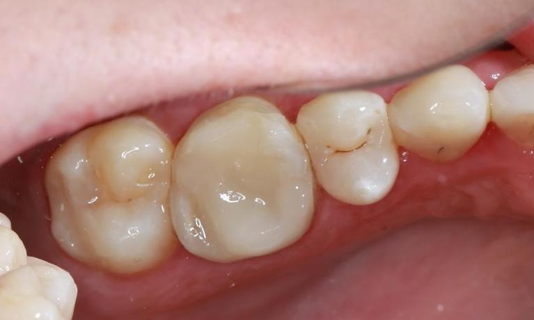
With a few large fillings in their molars, this patient was interested in having them replaced to be more cosmetically appealing. Dr Kiaee used composite material to replace them with tooth-coloured fillings.
Composite material is strong just like silver fillings, however, it often takes less of a toll on the natural tooth structure.
This patient had deep grooves on the back molars, which made them particularly susceptible to cavities and decay. To help keep these teeth healthy, Dr Kiaee used dental sealants.
Dental sealants are commonly used to prevent tooth decay. They are placed on top of tooth surfaces along the pits and fissures to create a smooth, easy-to-clean surface thus preventing cavities.
This patient came in with a large filling on the back molar that was becoming decayed. To save the remaining structure of the tooth Dr Kiaee used a dental crown to cover the existing tooth and restore the integrity.
A crown can be used to cover a weak or damaged tooth. Besides strengthening a damaged tooth, a crown can improve the tooth's appearance, shape and colour.