Smile Gallery: Tooth-Coloured Dentistry
A picture is truly worth a thousand words when it comes to the possibilities available from modern cosmetic dentistry. Take a moment to browse our smile gallery and please contact us if you would like to make improvements to your smile.
*The images shown in our Smile Gallery are examples of dental treatments provided at our practice. Individual results will vary depending on each patient’s dental needs and circumstances.


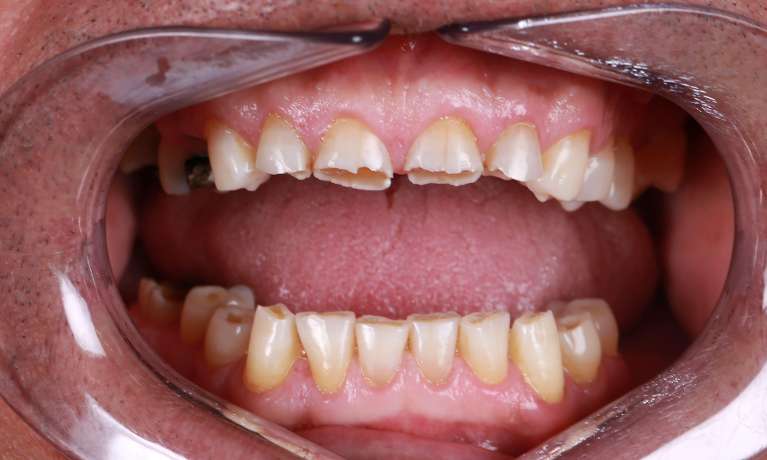
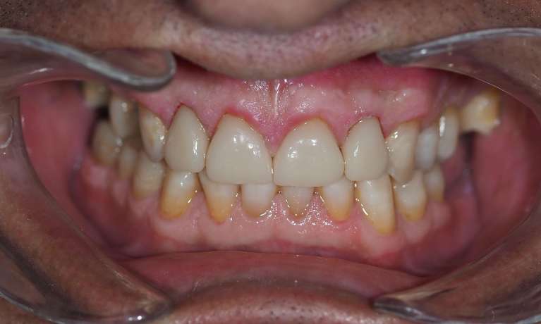
This patient wanted to restore their chipped and worn down front teeth so they could feel more confident with their smile. We achieved this beautiful transformation with composite fillings, and the patient couldn’t be happier with their new and improved smile.
Aesthetic Composite Fillings in Pascoe Vale, VIC
We invite you to see the difference for yourself and imagine the possibilities for your smile! We welcome you to contact us today to book your consultation.


Multiple areas of tooth decay we restored on a child made an impressive difference. This was all made possible with Dr Valerie's patience. She used composite resin material to fill the holes left by tooth decay and to restore shape and function to this little one's teeth and aesthetics to their smile.
Tooth-Coloured Fillings for Kids
We love caring for children at Lumino Smiles, and our clinic accepts new patients. Giving your child the gift of a healthy smile sets them up for success in the future.


Meet this patient, who once struggled with very worn teeth but found a fresh start through composite bonding. This patient’s journey went from extensive wear to beautiful, functional restoration, all thanks to our dentists’ use of modern, customised composite bonding techniques.
Ready to Restore Your Smile with Composite Bonding?
We invite you to imagine what is possible for your smile. Together, we can rejuvenate its health and beauty! We welcome your call, or you can book a consultation online.


Invisalign & Front Tooth Build-Up – Before & After
This patient began treatment with crowding and uneven front teeth. Through Invisalign, we gently aligned their smile, followed by composite build-up to reshape and enhance worn front teeth. The result is a straighter, more balanced smile with natural-looking improvements in both alignment and aesthetics.




Composite Bonding – Before & After
This patient presented with several worn-down teeth that affected both function and appearance. Using tooth-coloured composite bonding, we carefully rebuilt and reshaped each tooth for a fuller, more youthful smile. The result is a natural-looking transformation that restores confidence and balance.


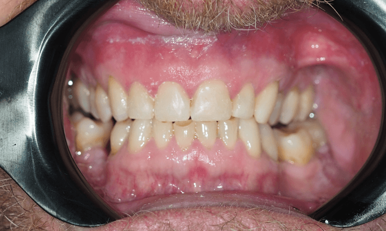
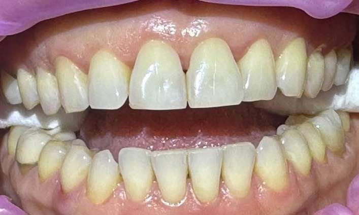
Composite Bonding – Broken Teeth Repair
This patient arrived with chipped and broken front teeth, affecting both their smile and confidence. With precise composite bonding, we restored the shape, strength, and appearance of each tooth. The final result is a seamless, natural-looking smile transformation completed in just one visit.


This treatment involved building up the front two teeth to improve their shape and appearance. A gentle enamel microabrasion technique was used to remove surface stains or white spots, followed by the application of a concentrated remineralising agent to strengthen the enamel and help prevent future decay.
We invite you to reach out to us if you have questions about this particular case or would like to schedule an appointment with us.


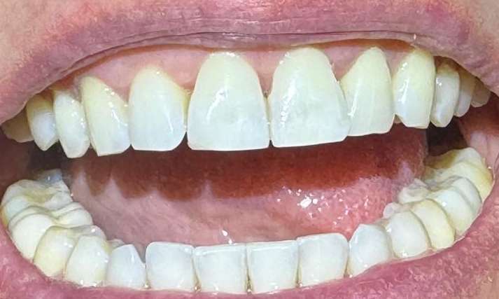
Professional In-Chair Teeth Whitening – Before and After
This patient came to our clinic looking for a brighter, more confident smile. After assessing their oral health and discussing their goals, we recommended our professional in-chair teeth whitening treatment. This safe, effective procedure was completed in a single appointment, significantly lifting stains caused by everyday habits like coffee and tea. The result is a noticeably whiter, fresher-looking smile that the patient was thrilled to share.


This patient presented with broken upper front teeth, which we carefully restored using composite bonding. The fractured edges and irregularities were repaired to recreate a natural tooth shape and colour. The finish blends seamlessly with the surrounding teeth, supporting both appearance and function.
Personalised Composite Bonding in Pascoe Vale, VIC
We invite you to learn more about this treatment and discuss whether it may be suitable for your smile. Contact our team today to arrange an appointment.



Using cosmetic procedures, Dr Kiaee was able to help this patient fade their white spots that were present on their teeth.



With several old amalgam silver fillings, this patient was interested in improving the look of their smile. Dr Kiaee replaced these old fillings using white fillings made of composite material that matched the color of their natural teeth.
White fillings not only are cosmetically more appealing, they are often less invasive than silver fillings. Silver fillings often crack the natural tooth over time.




With a few large fillings in their molars, this patient was interested in having them replaced to be more cosmetically appealing. Dr Kiaee used composite material to replace them with tooth-coloured fillings.
Composite material is strong just like silver fillings, however, it often takes less of a toll on the natural tooth structure.
This patient came in with a large filling on the back molar that was becoming decayed. To save the remaining structure of the tooth Dr Kiaee used a dental crown to cover the existing tooth and restore the integrity.
A crown can be used to cover a weak or damaged tooth. Besides strengthening a damaged tooth, a crown can improve the tooth's appearance, shape and colour.