Lumino Smiles Dental
Can't find an online appointment that works for you? Give our team a call on (03) 9300 1061 for more availabilities!

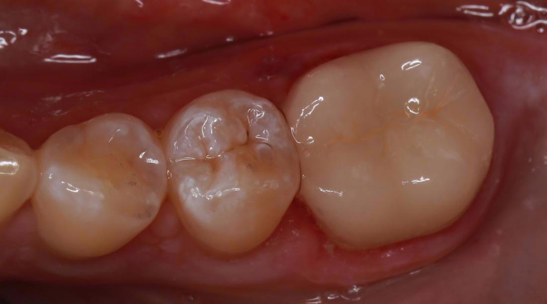
Crowns

This patient came in with a large filling on the back molar that was becoming decayed. To save the remaining structure of the tooth Dr Kiaee used a dental crown to cover the existing tooth and restore the integrity.

A crown can be used to cover a weak or damaged tooth. Besides strengthening a damaged tooth, a crown can improve the tooth's appearance, shape and colour.

 

 

 

Comprehensive dental care for the whole family
Any surgical or invasive procedure carries risks, and we recommend seeking a second opinion from an appropriately qualified health practitioner before proceeding.
Any surgical or invasive procedure carries risks. Before proceeding, you should seek a second opinion from an appropriately qualified health practitioner.