Lumino Smiles Dental
Can't find an online appointment that works for you? Give our team a call on (03) 9300 1061 for more availabilities!

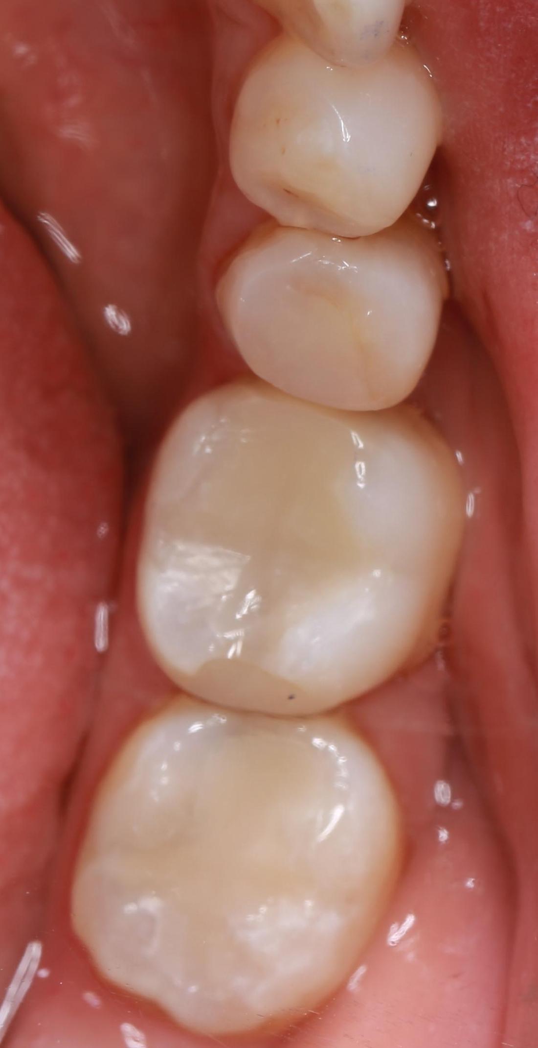
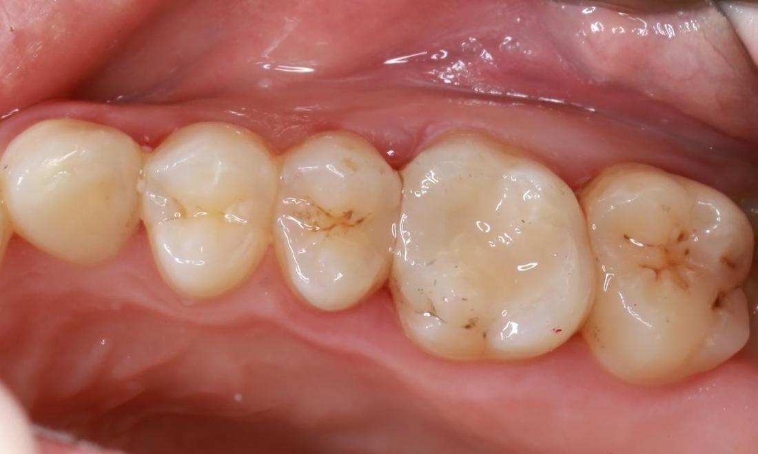
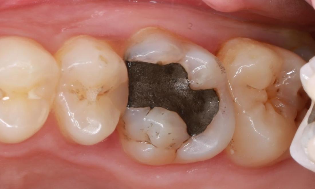
Silver Fillings Replaced With Tooth-Coloured

With a few large fillings in their molars, this patient was interested in having them replaced to be more cosmetically appealing. Dr Kiaee used composite material to replace them with tooth-coloured fillings. 

Composite material is strong just like silver fillings, however, it often takes less of a toll on the natural tooth structure. 

Comprehensive dental care for the whole family
Any surgical or invasive procedure carries risks, and we recommend seeking a second opinion from an appropriately qualified health practitioner before proceeding.
Any surgical or invasive procedure carries risks. Before proceeding, you should seek a second opinion from an appropriately qualified health practitioner.