Lumino Smiles Dental
Please note our clinic will be closed over the holiday period – closing from December 25th 2025 and reopening on January 5th 2026.

During this time, we will be open for emergency appointments on December 29th, 30th, and 31st.

Book online here or give our team a call on (03) 9300 1061 .

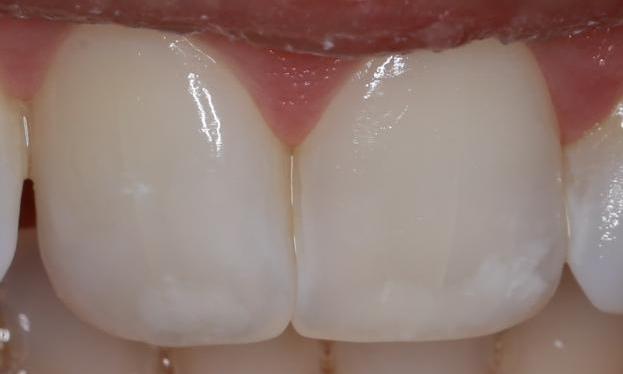
Fixed White Spots on Teeth

Using cosmetic procedures, Dr Kiaee was able to help this patient fade their white spots that were present on their teeth.

Getting an appointment is fast and easy.
Any surgical or invasive procedure carries risks. Before proceeding, you should seek a second opinion from an appropriately qualified health practitioner.
Privacy Policy