Lumino Smiles Dental
Can't find an online appointment that works for you? Give our team a call on (03) 9300 1061 for more availabilities!

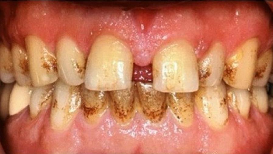
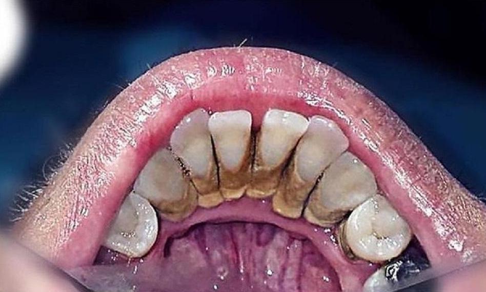
Dental Cleaning and Polish

This patient came in with quite a bit of buildup around the gum line and on the front of the teeth. To help get their oral health on track, we completed a professional cleaning removing all of the plaque buildup, calculus, and staining and then finished with a polish. This is also known as oral prophylaxis

Cleanings are a preventative measure for gingivitis and other kinds of gum issues. 

Getting an appointment is fast and easy.
Disclaimer: The information throughout this site is not intended to be taken as medical advice.
Any surgical or invasive procedure carries risks. Before proceeding, you should seek a second opinion from an appropriately qualified health practitioner.