Lumino Smiles Dental
Please note our clinic will be closed over the holiday period – closing from December 25th 2025 and reopening on January 5th 2026.

During this time, we will be open for emergency appointments on December 29th, 30th, and 31st.

Book online here or give our team a call on (03) 9300 1061 .

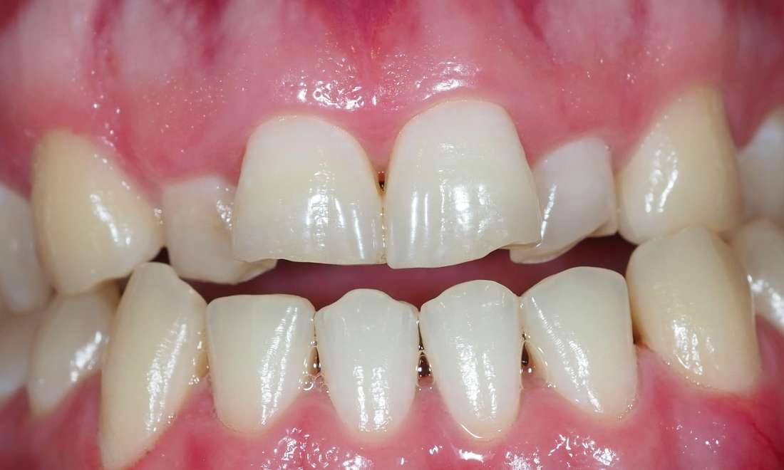
Orthodontic Treatment and Composite Buildup of Front Teeth

Orthodontic Treatment and Composite Buildup – Before and After

This patient underwent orthodontic treatment to gently and precisely align their teeth, creating a healthier bite and a more even smile. Once alignment was achieved, we performed composite buildup on the front teeth to refine their shape, improve symmetry, and enhance overall aesthetics. This combination treatment not only improved function but also gave the patient a brighter, more balanced smile that complements their facial features. The transformation showcases how strategic orthodontics paired with cosmetic artistry can achieve natural-looking, long-lasting results.

Getting an appointment is fast and easy.
Any surgical or invasive procedure carries risks, and we recommend seeking a second opinion from an appropriately qualified health practitioner before proceeding.
Any surgical or invasive procedure carries risks. Before proceeding, you should seek a second opinion from an appropriately qualified health practitioner.