Lumino Smiles Dental
Please note our clinic will be closed over the holiday period – closing from December 25th 2025 and reopening on January 5th 2026.

During this time, we will be open for emergency appointments on December 29th, 30th, and 31st.

Book online here or give our team a call on (03) 9300 1061 .

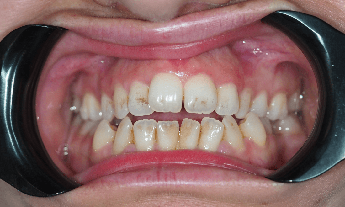
Professional Dental Clean

Professional Dental Clean – Before & After

This patient came in with visible plaque buildup and surface staining. After a thorough professional clean, their teeth look noticeably brighter and healthier. The result is a refreshed smile and improved oral health—all in a single visit.

Service Performed By:

Shae Andrewartha
Still need an appointment?
Any surgical or invasive procedure carries risks. Before proceeding, you should seek a second opinion from an appropriately qualified health practitioner.
Privacy Policy